Cabinet d'orthodontie à Levallois Perret
Dr ALLOUCH & Dr SAYAG MORYOUSSEF

Blog - Page 3

Éducateur fonctionnel – concept d’intervention et de prévention 

Éducateur fonctionnel – concept d’intervention et de prévention 

Le dispositif de carrière

Le dispositif de carrière

Expansion palatineactivation du disjoncteur

Expansion palatineactivation du disjoncteur

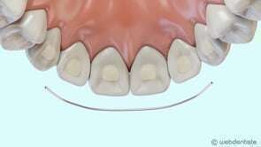
Fil de contention

Fil de contention

Orthodontie : la traction d'une canine palatine incluse

Orthodontie : la traction d'une canine palatine incluse

Nettoyage des brackets avec brossette interdentaire

Nettoyage des brackets avec brossette interdentaire

Affichage des articles 13-18 sur 96

Création par Webdentiste

Connexion